2024 06/08 14:16:23
来源:杭州口腔医院

数字化种植到底是个啥?

字体:

  现在的口腔种植已经从经验医疗逐步走向精准医疗时代,数字化种植在这其中起着至关重要的作用。那数字化种植到底是个啥?

  数字化诊疗模式已被业内公认为今后口腔种植的发展趋势与主流技术。从术前三维影像数据的获取、计算机辅助下的种植外科手术到术后种植修复体设计加工,涉及到治疗的每个步骤,为缺牙患者种植即刻负荷提供了新的契机。这与传统的种植手术及种植修复方式相比,不仅提高了病人的舒适度,省却了大量繁琐的操作,降低了材料和人工的消耗,而且是保证种植修复远期疗效的有力手段。

  常规的数字化种植修复包括以下几个重要内容:

  一是对患者的健康状况进行评估内容包括:主诉、现病史、既往史以及牙牙合状况。并作辅助的实验室检查,包括:血细胞分析以及生化系列分析。健康状况评估结果认为患者可以承受种植手术。由此制定综合治疗计划。

 拍摄CBCT。

  二是术前拍摄CBCT,取模,定合术前拍摄CBCT,取模,定合,以修复为导向;然后根据牙槽骨的质量、高度及厚度制作手术导板。

  根据种植体及修复体的位置,设计种植导板。

  制作的导板。

  导板引导下进行种植体的植入模型图。

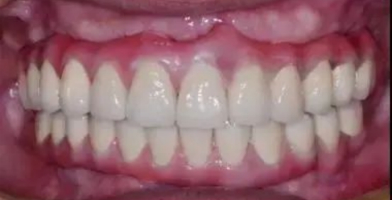
  在种植体精准植入牙槽骨后,完成取模,临时修复,待种植体骨结合形成后,完成永久修复。

  

  永久修复完成后口内像。

【责任编辑:宋越】